Ocena zaawansowania amyloidozy

Organem krytycznym, czyli takim, którego zajęcie jest najważniejsze dla ustalenia rokowania i wyboru leczenia amyloidozy, jest mięsień serca. Innym ważnym narządem są nerki. Im bardziej zajęte są ważne dla życia narządy, tym większe zaawansowanie choroby

Ocena zaawansowania amyloidozy

Jak ocenić zaawansowanie choroby?

Organem krytycznym, czyli takim, którego zajęcie jest najważniejsze dla ustalenia rokowania i wyboru leczenia amyloidozy, jest mięsień serca. Innym ważnym narządem są nerki. Im bardziej zajęte są ważne dla życia narządy, tym większe zaawansowanie choroby.

Badania funkcji serca

Identyfikacja depozytów amyloidu w sercu jest niezwykle istotna dla prognozowania przebiegu choroby i planowania terapii. Jest to możliwe przy pomocy nieinwazyjnych metod obrazowych, do których należy badanie echokardiograficzne, rezonans magnetyczny i badanie izotopowe.

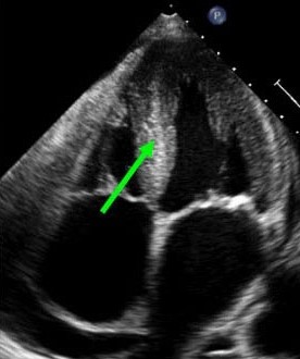
Obraz amyloidozy serca w badaniu echokardiograficznym (zaznaczona pogrubiona przegroda międzykomorowa)Obraz amyloidozy serca w badaniu echokardiograficznym
(zaznaczona pogrubiona przegroda międzykomorowa)

Echokardiografia, czyli ultrasonograficzna ocena serca, to obecnie „złoty standard” w rozpoznawaniu amyloidozy serca. Nacieczenie amyloidem nadaje charakterystyczny wygląd mięśnia sercowego, który został opisany jako „iskrzące się ziarnistości” (zwiększona echogeniczność). W amyloidozie dochodzi do pogrubienia jego ścian, co daje obraz koncentrycznego (dośrodkowego) przerostu mięśnia, szczególnie w obrębie przegrody międzykomorowej, przy braku współistniejącego nadciśnienia tętniczego w wywiadzie. Jednak w rzeczywistości w amyloidozie masa mięśnia sercowego nie powiększa się, ponieważ amyloid odkładany jest w przestrzeniach miedzykomórkowych. Frakcja wyrzutowa (z angielskiego: enjection fraction- EF) jest zwykle prawidłowa, z zachowaną czynnością skurczową, co odróżnia tę chorobę od wielu innych rodzajów niewydolności krążenia. Obserwuje się natomiast zaburzenia napełniania komór (zwłaszcza prawej), wynikające z upośledzonego rozkurczu mięśnia sercowego. Niewydolność rozkurczowa jest typowa dla amyloidozy, nawet we wczesnym okresie zajęcia serca. Upośledzenie funkcji skurczowej lewej komory rozpoznaje się rzadko i wyłącznie w zaawansowanym okresie choroby. Pogrubienie płatków zastawek oraz obecność płynu w worku osierdziowym uzupełnia obraz zmian echokardiograficznych w amyloidozie serca.

Najprostszym badaniem czynnościowym jest EKG (elektrokardiografia), w którym stwierdzić można niski woltaż załamków QRS spowodowany uszkodzeniem mięśnia serca. Czasem zapis fałszywie sugeruje podejrzenie zawału serca (przez obecność zespołów qS w odprowadzeniach przedsercowych). Należy podkreślić, iż niskie napięcia nie są obserwowane w zajęciu serca w amyloidozie starczej, co utrudnia diagnostykę różnicową z przerostem mięśnia sercowego wtórnym do nadciśnienia tętniczego u osób w podeszłym wieku.

Spośród badań obrazowych większą wartość diagnostyczną w rozpoznawaniu amyloidozy z zajęciem serca ma rezonans magnetyczny. Wykonuje się specjalistyczną wersję tego badania dedykowaną ocenie serca. Pozwala ona na dokładniejszą niż echokardiografia ocenę grubości wszystkich ścian serca. Obserwowana zmiana sygnału z charakterystycznym późnym wzmocnieniem po podaniu znacznika (gadolinu) jest obrazem typowym dla amyloidozy. Niestety, obraz ten pojawia się dopiero w zaawansowanej postaci choroby. W chwili obecnej brakuje danych dotyczących przydatności MRI we wczesnym rozpoznawaniu zajęcia serca.

Jakkolwiek badanie echokardiograficzne jest standardem, od którego zaczyna się diagnostykę w kierunku amyloidozy, a rezonans magnetyczny jest metodą wnoszącą więcej informacji niż echo, badaniem uznanym jako pierwszy krok w różnicowaniu pomiędzy kardiomiopatią ATTR i AL jest scyntygrafia serca. Badanie scyntygraficzne polega na zobrazowaniu za pomocą gammakamery emitowanego przez izotop technetu mało szkodliwego promieniowania gamma. Badanie to charakteryzuje się wysoką czułością i swoistością, nawet w przypadku wczesnego, bezobjawowego okresu choroby. Dużą wartość diagnostyczną ma scyntygrafia z wykorzystaniem znacznika 99mTc-DPD, który bardzo łatwo lokalizuje się w sercu pacjentów z amyloidozą ATTR, zarówno postacią rodzinną jak i starczą, dlatego znacznik ten stosowany jest najczęściej. Podczas badania pacjentowi podaje się dożylnie preparat zawierający radioizotop 99mTc-DPD. Nie jest potrzebne specjalne przygotowanie, badanie może być wykonywane wielokrotnie i w każdym wieku. Pochłonięta przez pacjenta dawka promieniowania gamma jest absolutnie bezpieczna dla zdrowia – nie jest większa niż ta, którą otrzymuje się podczas badań rentgenowskich. Izotop rozpada się w niedługim czasie i jest wydalany z organizmu. Badanie z użyciem 99mTc-DPD oprócz wartości diagnostycznej ma również wysoką wartość prognostyczną w przewidywaniu groźnych dla życia arytmii, hospitalizacji z  powodu niewydolności  serca, zawału serca i udaru. Utrudnieniem dla wykonywania tego badania jest ograniczona dostępność do wybranych ośrodków diagnostycznych. Zakład Medycyny Nuklearnej Krakowskiego Szpitala Specjalistycznego im. Jana Pawła II posiada niezbędne doświadczenie w tym zakresie. Skierowanie na badanie jest możliwe w chwili obecnej u pacjentów hospitalizowanych w Szpitalu im. Jana Pawła II lub w innych jednostkach szpitalnych posiadających umowę na badanie ze Szpitalem im. Jana Pawła II. Badanie to można również obecnie wykonać w Pracowni Scyntygrafii Centrum Onkologii-Instytutu Marii Curie-Skłodowskiej w Warszawie.

Stopień uszkodzenia serca można też oceniać na podstawie stężenia markerów we krwi. Najbardziej wartościowymi wskaźnikami są NT-proBNP (N-końcowy propeptyd natriuretyczny typu B) oraz troponina. Z uwagi na łatwość wykonania i powtarzalność są one bardzo cenne w monitorowaniu efektów leczenia. Ocena ich poziomu w momencie rozpoznania ma wartość prognostyczną (p. tabela: czynniki prognostyczne wg Mayo). Im wyższe wartości, tym bardziej uszkodzony mięsień sercowy i tym większe jest ryzyko powikłań w czasie chemioterapii.

Czynniki prognostyczne wg Mayo:

  • Troponina T
    0,025 ng/ml
  • NT-proBNP
    1800 pg/ml
  • Różnica FLC
    18 mg/dl

Serce w amyloidozie

W wielu typach amyloidozy dochodzi do zajęcia serca. W amyloidozie AL uszkodzenie tego ważnego narządu stwierdza się u ¾ pacjentów, u połowy zaś obserwuje się objawy jego niewydolności. Powyżej omówiono badania wykonywane celem oceny jego funkcji. Wydolność serca ma kluczowe znaczenie dla ustalenia bezpiecznego leczenia. Jeśli serce jest bardzo uszkodzone, chorego nie można zakwalifikować do procedury autologicznego przeszczepienia komórek macierzystych szpiku (z angielskiego: autologous stem cell transplantation- ASCT) proponowanej w amyloidozie AL. Im bardziej uszkodzone serce, tym ostrożniej należy dobierać chemioterapię stosowaną w amyloidozie AL.

Źródło: na podstawie Jurczyszyn A., Olszewska-Szopa M, Kostkiewicz M., Suska A., Jędrzejczak WW, Jamroziak K. „Amyloidoza. Poradnik dla pacjentów” 2018